Skip to content

Conversation

@mgxd
Copy link
Contributor

@mgxd mgxd commented Aug 31, 2021

Follows #544

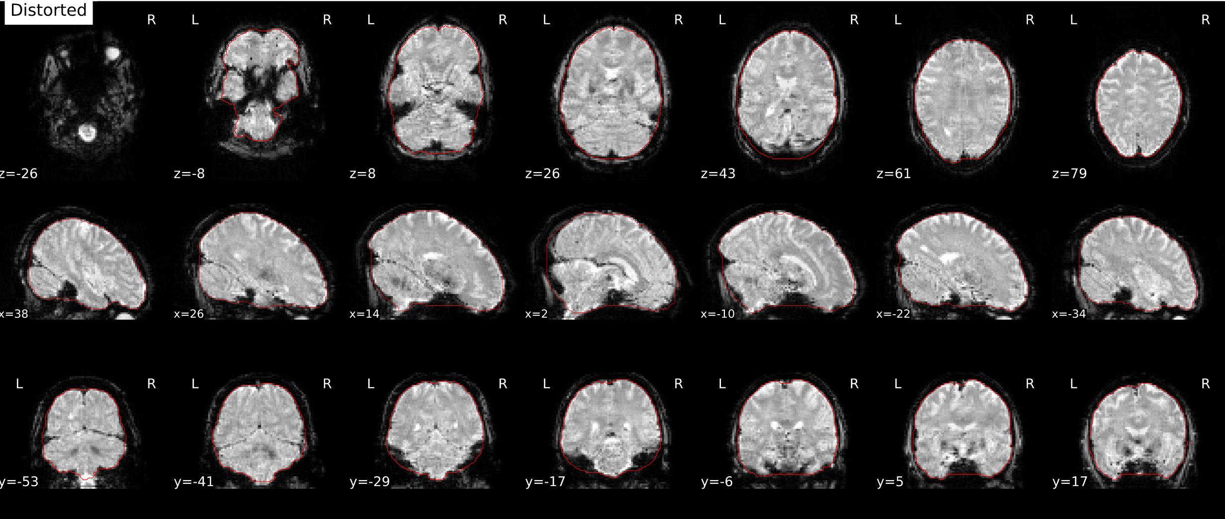
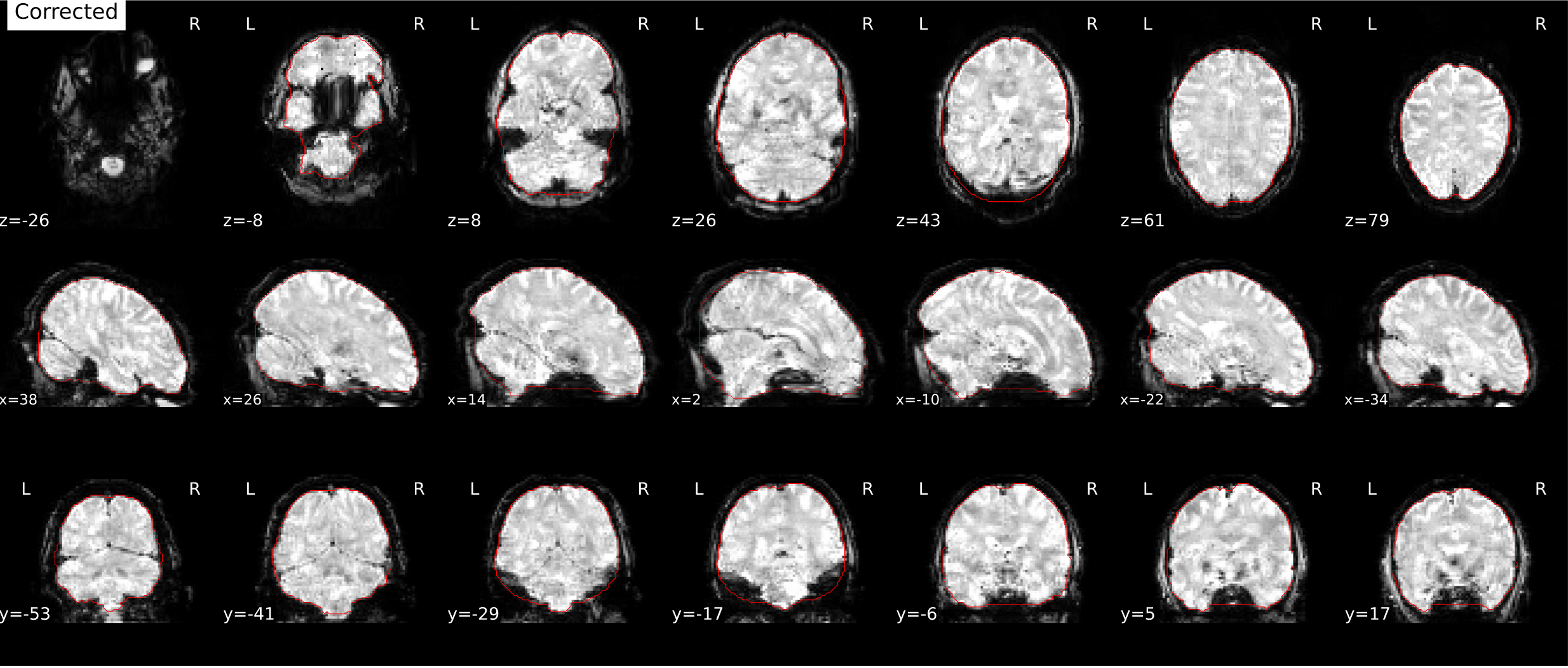
Allows SimpleBeforeAfter reports to rotate images with respect to the cardinal axes. This is motivated in the context of SDC correction, to give a clearer look at the distortions.

Screen Shot 2021-08-31 at 3 43 06 PM

Screen Shot 2021-08-31 at 3 43 15 PM

@mgxd mgxd requested a review from oesteban August 31, 2021 19:44
@codecov-commenter
Copy link

codecov-commenter commented Aug 31, 2021

Codecov Report

Merging #650 (d55e239) into master (a4620fd) will decrease coverage by 0.00%.
The diff coverage is 51.96%.

❗ Current head d55e239 differs from pull request most recent head 70593a4. Consider uploading reports for the commit 70593a4 to get more accurate results
Impacted file tree graph

@@            Coverage Diff             @@
##           master     #650      +/-   ##
==========================================
- Coverage   47.95%   47.94%   -0.01%     
==========================================
  Files          43       45       +2     
  Lines        5303     5527     +224     
  Branches      775      794      +19     
==========================================
+ Hits         2543     2650     +107     
- Misses       2673     2783     +110     
- Partials       87       94       +7     
Flag Coverage Δ
documentation ?
reportlettests ∅ <ø> (∅)
unittests 47.94% <51.96%> (-0.11%) ⬇️

Flags with carried forward coverage won't be shown. Click here to find out more.

Impacted Files Coverage Δ
niworkflows/anat/freesurfer.py 39.13% <ø> (ø)
niworkflows/anat/skullstrip.py 30.00% <ø> (ø)
niworkflows/cli/boldref.py 14.28% <ø> (ø)
niworkflows/engine/workflows.py 89.47% <ø> (ø)
niworkflows/interfaces/cifti.py 53.84% <ø> (ø)
niworkflows/interfaces/nitransforms.py 50.00% <ø> (ø)
niworkflows/interfaces/patches.py 27.27% <ø> (ø)
niworkflows/interfaces/plotting.py 75.00% <ø> (ø)
niworkflows/interfaces/space.py 100.00% <ø> (ø)
niworkflows/interfaces/surf.py 47.46% <ø> (ø)
... and 39 more

Continue to review full report at Codecov.

Legend - Click here to learn more
Δ = absolute <relative> (impact), ø = not affected, ? = missing data
Powered by Codecov. Last update bd6cd6f...70593a4. Read the comment docs.

Copy link
Member

@oesteban oesteban left a comment

Choose a reason for hiding this comment

The reason will be displayed to describe this comment to others. Learn more.

Just a nomenclature nit-pick, but looks good to me. Thanks for this.

@mgxd mgxd force-pushed the enh/report-plot-axis branch from d55e239 to 70593a4 Compare September 1, 2021 13:32
@mgxd mgxd merged commit dec5289 into nipreps:master Sep 1, 2021
@mgxd mgxd deleted the enh/report-plot-axis branch September 1, 2021 15:18
Sign up for free to join this conversation on GitHub. Already have an account? Sign in to comment

Labels

None yet

Projects

None yet

Development

Successfully merging this pull request may close these issues.

3 participants